
Bio-Attivatore AMCOP, una soluzione all'avanguardia per la moderna Odontoiatria.
L'evoluzione degli apparecchi elastodontici.
Il Bio-Attivatore AMCOP è un dispositivo medicale elastodontico di carattere funzionale, specificatamente ortopedico del sistema dento-cranio-facciale.
I diversi modelli di dispositivi AMCOP hanno il fine di favorire la corretta eruzione dentale e l'armonico sviluppo delle arcate dentali verso una forma ideale con corretti rapporti occlusali trasversali, verticali, sagittali e torsionali, riabilitando i diversi squilibri occlusali.
Una soluzione innovativa per correggere le malocclusioni dentarie dei tuoi pazienti.
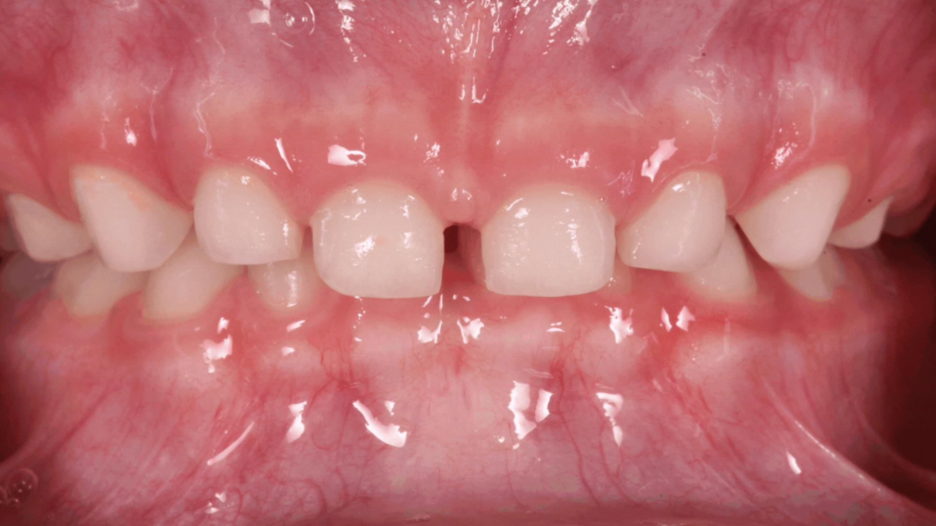
Terapia elastodontica paziente di 4 anni
'Uso regolarmente l’Attivatore sia come dispositivo ortopedico nella prima fase di un trattamento ortodontico, sia come dispositivo di rifinitura post trattamento ortodontico, sia per la terapia dei disturbi posturali e gnatologici. Un’altra frontiera che sto attuando è il trattamento combinato con gli allineatori e con la terapia multibrackets..'
'Il dispositivo AMCOP è ottimo per riequilibrare il sistema muscolare (sia centripeto che centrifugo), quindi labbra e lingua dei pazienti in crescita consentendo, nel long-term, grande stabilità.'
'Dispositivi mininvasivi per la terapia ortopedico funzionale del piccolo paziente e mi permettono di semplificare anche i casi clinici del paziente adulto prima della seconda fase ortodontica . Una svolta nella mia vita professionale!'
Sì. Esistono dispositivi AMCOP di I, II e III classe per trattare tutti i tipi di malocclusione.
I dispositivi AMCOP sono poco invasivi, devono essere indossati solo un’ora durante il giorno per la rieducazione linguale e durante tutta la notte.
No. Si armonizza con la postura del corpo, senza impatti negativi.
No, il costo è contenuto perché spesso basta adottare un singolo dispositivo, che verrà adattato, durante tutta la terapia.
Porta oggi stesso il tuo studio dentistico nel futuro con AMCOP.
Sarai contattato compatibilmente con i tempi di elaborazione dei dati da un responsabile aziendale.

